-
主页 > 成功案例 >
脊索瘤—德国治疗案例(一)
阅读量:1万+
患者资料
性别:男 出生时间:1969年
病种:脊索瘤 出发时间:2013年11月
首发部位:斜坡 未转移
病理结果:脊索瘤
国内诊断:2013年11月20日 患者因出现视觉重影症状,经过照CT和MR初查,复查,确诊脊索瘤已经压迫到视觉神经,但因肿瘤生产置包绕脑干,手术难度大,未能进行手术治疗。
2013年12月6日行头部曾强MR 、CT +三维检查
2013年12月12日复视现象基本恢复正常
2013年12月2日发生过一次性失明、大约20多分钟后恢复正常
↓2013年12月7日MRI


德国(RPTC)质子治疗
治疗准备:
治疗期间为患者适配了真空垫和咬胶,另外制作了3毫米层厚的方案CT并使用了MRI数据进行图像合成,目标题我们选择了斜坡脊索瘤。在首次放疗前,通过计算机得出的3D质子放射治疗方案已经通过在治疗位上的物理测量得到验证。
2014年3月31日-5月20日质子治疗
自2014年3月31日至2014年5月20日,质子中心对患者治疗靶区的斜坡部位通过光点儿扫描技术进行了放射治疗,总次数为37次,单次计量为2.00GY(RBE)总剂量为74.00GY(RBE)
质子治疗前和治疗中,质子中心对患者进行了如下检查:
2014年3月21日(再)分期MRI颅底检查,无造影剂和造影剂增强
诊断:斜坡脊索瘤扩散至垂体并抵达视交叉尾部以及双侧颈动脉。
2014年4月23日(再)分期行MRI颅底检查,无造影剂和造影剂增强
诊断:较大斜坡脊索瘤,沿脊髓瘤方向尺寸开始减小
无较大的右侧桥脑水肿,腹侧有边缘反应。
↓质子照射剂量图

质子照射剂量图

复查随访
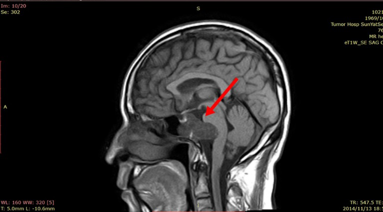
2014年08月13日、2014年11月13日、2015年02月06日、2015年08月14日四次复查MR 瘤体均未见扩张迹象。2015年8月建议继续每年进行一次MRI检查。
2014年8月13日

2014年11月13日

2015年2月6日

2015年8月14日

- 猜你喜欢的文章:
- [] 骶骨脊索瘤第 2 次切除术后案例【
- [] 5岁女孩神经母细胞瘤伴多发转移术
- [] 9岁女孩髓母细胞瘤切除术后案例【
- [] 髓母细胞瘤术后案例【髓母细胞瘤
- [] 左额叶肿瘤切除术后案例【左额叶